क्या फ्लोराइडेटेड पीने का पानी सुरक्षित है?
स्मार्ट वाटर टेक द्वारा एलन हुआंग 2024-10-01
मेनू
- फ्लोराइडेटेड पीने का पानी क्या है?
- पीने के पानी में फ्लोराइड का लाभ
- अतिरिक्त फ्लोराइड के संभावित स्वास्थ्य जोखिम
- घर पर पीने के पानी में फ्लोराइड को कैसे कम करें
- सर्वश्रेष्ठ जल निस्पंदन समाधान: - के तहत क्यों चुनें
- ज़ियामेन स्मार्ट वाटर टेक्नोलॉजी कं, लिमिटेड के बारे में
- अक्सर फ्लोराइडेटेड पीने के पानी के बारे में सवाल पूछे जाते हैं
क्या फ्लोराइडेटेड पीने का पानी सुरक्षित है?
फ्लोराइडेटेड पीने का पानी पानी को संदर्भित करता है जिसमें फ्लोराइड जोड़ा जाता है। नियंत्रित मात्रा में, फ्लोराइड को दांत तामचीनी को मजबूत करने और गुहाओं के जोखिम को कम करने के लिए जाना जाता है। हालांकि, किसी भी अन्य खनिज की तरह, बहुत अधिक फ्लोराइड गंभीर स्वास्थ्य जोखिम पैदा कर सकता है। फ्लोराइडेटेड पानी के लाभों और खतरों दोनों को समझना यह सुनिश्चित करने के लिए महत्वपूर्ण है कि आपके पीने का पानी सुरक्षित रहे।
1। फ्लोरिडेटेड पीने का पानी क्या है?
फ्लोराइड मिट्टी और पानी में पाया जाने वाला एक स्वाभाविक रूप से होने वाला खनिज है। कई क्षेत्रों में, नगरपालिका दंत स्वास्थ्य में सुधार के लिए पीने के पानी में फ्लोराइड जोड़ती है। अनुशंसित एकाग्रता आमतौर पर से होती है0.5 से 1.5 मिलीग्राम/एल, जिसे मौखिक स्वास्थ्य के लिए फायदेमंद माना जाता है।
2। पीने के पानी में फ्लोराइड के लाभ
- दाँत क्षय रोकथाम: फ्लोराइड दांत तामचीनी को याद करने में मदद करता है और एसिड के प्रतिरोध को बढ़ाता है।
- गुहा में कमी: अध्ययन से पता चलता है कि फ्लोराइडेटेड पानी गुहाओं के जोखिम को कम कर सकता है, खासकर बच्चों में।
- सामुदायिक दंत स्वास्थ्य सुधार: कई सार्वजनिक स्वास्थ्य कार्यक्रम नियंत्रित फ्लोराइडेशन को एक प्रभावी और कम - दंत स्वास्थ्य को बढ़ावा देने के लिए लागत तरीका मानते हैं।

3। अतिरिक्त फ्लोराइड के संभावित स्वास्थ्य जोखिम
जबकि फ्लोराइड कम मात्रा में सहायक हो सकता है, अत्यधिक सेवन कई स्वास्थ्य मुद्दों को जन्म दे सकता है:
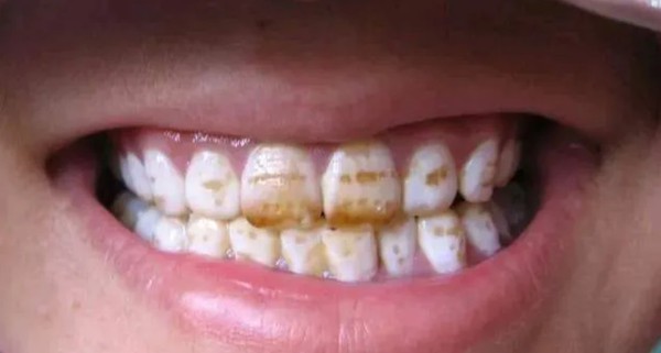
- दंत -फ्लोरोसिस: बचपन के दौरान ओवरएक्सपोजर दांतों पर सफेद लकीर, भूरे रंग के दाग या गड्ढों का कारण बन सकता है।

- स्केलेटल फ्लोरोसिस: लॉन्ग - टर्म एक्सपोज़र हड्डियों को कमजोर कर सकता है, जोड़ों में दर्द का कारण बन सकता है, और फ्रैक्चर के जोखिम को बढ़ा सकता है।


- पाचन संबंधी मुद्दे: बहुत अधिक फ्लोराइड मतली, उल्टी, या दस्त का कारण बन सकता है।
- न्यूरोलॉजिकल लक्षण: कुछ लोग लंबे समय तक उच्च फ्लोराइड सेवन से सिरदर्द या अनिद्रा का अनुभव करते हैं।

- विकासात्मक चिंताएँ: उच्च फ्लोराइड का स्तर शिशु विकास और समग्र विकास में बाधा डाल सकता है।

4। घर पर पीने के पानी में फ्लोराइड को कैसे कम करें
अधिकांश घर अपने नगरपालिका जल स्रोत को नियंत्रित नहीं कर सकते हैं, लेकिन फ्लोराइड सेवन को कम करने के लिए प्रभावी समाधान हैं:
- उबला पानी: उबलते कुछ वाष्पशील यौगिकों को कम कर सकते हैं, लेकिन यह हमेशा फ्लोराइड को पूरी तरह से हटाने में प्रभावी नहीं होता है।
- रिवर्स ऑस्मोसिस (आरओ) प्रणाली: सबसे विश्वसनीय विकल्प। आरओ फिल्टर कणों को 0.0001 माइक्रोन के रूप में छोटे से हटा देते हैं, प्रभावी रूप से फ्लोराइड, भारी धातुओं और अन्य दूषित पदार्थों को समाप्त करते हैं।
- सक्रिय एल्यूमिना फिल्टर: एक और निस्पंदन विकल्प विशेष रूप से फ्लोराइड में कमी के लिए डिज़ाइन किया गया है।
लंबे समय तक - की तलाश में परिवारों के लिए सुरक्षित पेयजल,एक के तहत - सिंक रिवर्स ऑस्मोसिस सिस्टमसबसे सुसंगत सुरक्षा प्रदान करता है।
5। सर्वश्रेष्ठ जल निस्पंदन समाधान: - के तहत क्यों चुनें
स्थापित करनाके तहत - सिंक वाटर फिल्टरअपने रसोई के नल से सीधे सुरक्षित, शुद्ध पेयजल सुनिश्चित करता है। प्रमुख लाभों में शामिल हैं:
- व्यापक निस्पंदन: फ्लोराइड, क्लोरीन, भारी धातुओं और हानिकारक सूक्ष्मजीवों को हटाता है।
- सुविधा: बोतलबंद पानी पर भरोसा किए बिना तुरंत उपलब्ध साफ पानी।
- लागत - प्रभावशीलता: लगातार - बोतलबंद पानी खरीदने की तुलना में टर्म बचत।
- स्वास्थ्य सुरक्षा: परिवारों, बच्चों और यहां तक कि शिशुओं के लिए सुरक्षित पानी फॉर्मूला तैयार करना।
6। ज़ियामेन स्मार्ट वाटर टेक्नोलॉजी कं, लिमिटेड के बारे में
परज़ियामेन स्मार्ट वाटर टेक्नोलॉजी कं, लिमिटेड, हम उच्च - गुणवत्ता के निर्माण में विशेषज्ञ हैं- के तहत पानी के फिल्टर और ड्रिंकिंग वॉटर सिस्टमदुनिया भर में अंतर्राष्ट्रीय ब्रांडों द्वारा भरोसा किया गया। उन्नत आरएंडडी, सिद्ध निस्पंदन प्रौद्योगिकी और ओडीएम निर्माण सेवाओं के साथ, हम लागत - प्रभावी, सुरक्षित और टिकाऊ पेयजल समाधान प्रदान करते हैं।
हमारे उत्पाद रेंज में शामिल हैं:
- तत्काल गर्म और ठंडा पानी डिस्पेंसर
- के तहत - सिंक रिवर्स ऑस्मोसिस वाटर फिल्टर
- उबलते, ठंडा और स्पार्कलिंग वॉटर सिस्टम
- वैश्विक भागीदारों के लिए कस्टम ODM और थोक समाधान
सुनिश्चित करें कि आपके परिवार का पीने का पानी अतिरिक्त फ्लोराइड और अन्य दूषित पदार्थों से सुरक्षित है।
👉 संपर्क करेंज़ियामेन स्मार्ट वाटर टेक्नोलॉजी कं, लिमिटेडआज हमारे बारे में और जानने के लिएके तहत - सिंक वाटर फ़िल्टर ODM सॉल्यूशंसऔर पता चलता है कि हम उन्नत पेयजल प्रणालियों के साथ आपके ब्रांड का समर्थन कैसे कर सकते हैं।
अक्सर फ्लोराइडेटेड पीने के पानी के बारे में सवाल पूछे जाते हैं
Q1: क्या बच्चों के लिए फ्लोराइडेटेड पीने का पानी सुरक्षित है?
हां, नियंत्रित मात्रा में फ्लोराइडेटेड पानी बच्चों के लिए सुरक्षित है और गुहाओं के जोखिम को कम करने में मदद करता है। हालांकि, दांत के विकास के दौरान अत्यधिक फ्लोराइड का सेवन दंत फ्लोरोसिस का कारण हो सकता है। फ्लोराइड के स्तर के बारे में चिंतित माता -पिता अतिरिक्त सुरक्षा के लिए - सिंक रिवर्स ऑस्मोसिस फिल्टर के तहत उपयोग कर सकते हैं।
Q2: क्या उबलते पानी फ्लोराइड को हटा सकते हैं?
उबलते पानी प्रभावी रूप से फ्लोराइड को नहीं हटाता है। कुछ मामलों में, यह फ्लोराइड एकाग्रता को भी बढ़ा सकता है क्योंकि पानी वाष्पित होता है। सबसे प्रभावी विधि - सिंक वाटर फिल्टर के तहत एक रिवर्स ऑस्मोसिस का उपयोग कर रही है।
Q3: बहुत अधिक फ्लोराइड पीने के दुष्प्रभाव क्या हैं?
अत्यधिक फ्लोराइड का सेवन दंत फ्लोरोसिस, कंकाल फ्लोरोसिस, पाचन असुविधा, सिरदर्द और गंभीर मामलों में, लंबे - शब्द की हड्डी और विकासात्मक मुद्दों को जन्म दे सकता है।
Q4: कैसे - सिंक पानी के फिल्टर के तहत फ्लोराइड को हटा दें?
उच्च - गुणवत्ता - के तहत गुणवत्ता वाले पानी के फिल्टर, विशेष रूप से रिवर्स ऑस्मोसिस झिल्ली वाले लोगों को सिंक करें, कणों को 0.0001 माइक्रोन तक नीचे फ़िल्टर करके फ्लोराइड को हटा दें। यह सुनिश्चित करता है कि केवल शुद्ध पानी के अणु गुजरते हैं, फ्लोराइड, भारी धातुओं और अन्य संदूषकों को समाप्त करते हैं।
Q5: क्या मुझे पीने के पानी से फ्लोराइड को हटाने के लिए एक विशेष फिल्टर की आवश्यकता है?
हाँ। मानक कार्बन फिल्टर फ्लोराइड को नहीं हटा सकते हैं। आपको एक रिवर्स ऑस्मोसिस सिस्टम या एक सक्रिय एल्यूमिना फिल्टर की आवश्यकता होगी जो विशेष रूप से फ्लोराइड हटाने के लिए डिज़ाइन किया गया है।
Q6: मुझे बोतलबंद पानी के ऊपर - सिंक रिवर्स ऑस्मोसिस सिस्टम के तहत क्यों चुनना चाहिए?
- के तहत SINK RO सिस्टम घर पर असीमित सुरक्षित पेयजल प्रदान करते हैं, अधिक लागत - लंबे समय में प्रभावी हैं, और बोतलबंद पानी की तुलना में प्लास्टिक कचरे को कम करते हैं।
